Contact sales
Glaucoma – a leading cause of blindness – refers to a collection of diseases whereby increased intraocular pressure adversely impacts the optic nerve, and subsequently, the visual field. However, not all cases of glaucoma are associated with increased intraocular pressure, a subset includes similar optic nerve damage and visual field damage known as normal pressure glaucoma.

Age-related macular degeneration is a major cause of blindness worldwide. With ageing populations in many countries, more than 20% might have the disorder. Advanced age-related macular degeneration, including neovascular age-related macular degeneration (wet) and geographic atrophy (dry), is associated with substantial, progressive visual impairment.

Diabetic retinopathy (DR) is a common complication of diabetes mellitus and is a major cause of vision loss in middle-aged and elderly people. One-third of people with diabetes have DR. Severe stages of DR include proliferative DR, caused by the abnormal growth of new retinal blood vessels, and diabetic macular oedema, in which there is exudation and oedema in the central part of the retina.

Myopia is the most common refractive vision disorder in children. It is characterized by blurring of distance objects. The greater the degree of myopia, the greater the risk of complications such as macular degeneration, retinal detachment, cataracts, and glaucoma and the risk is especially higher at more than -6.00 D (diopters), a condition called ‘high myopia’.

Dry eye syndrome (DES), also known as keratoconjunctivitis sicca (KCS), is the condition of having dry eyes. Other associated symptoms include irritation, redness, discharge, and easily fatigued eyes. Blurred vision may also occur. Symptoms range from mild and occasional to severe and continuous. Scarring of the cornea may occur in untreated cases.

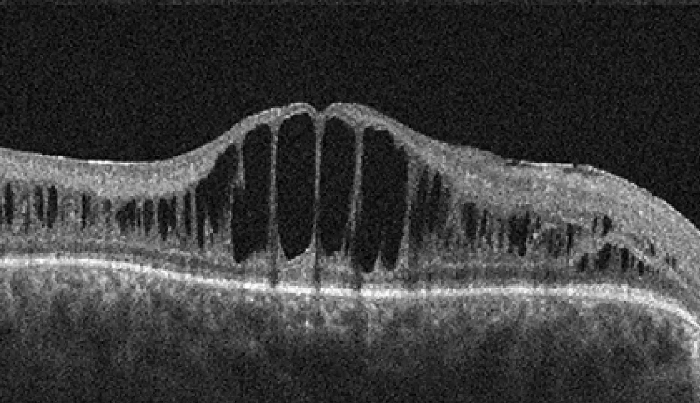
A retinal occlusion is a blockage in the blood vessel of your eye that can result in sight loss. There are two types of retinal blood vessels, arteries and veins. Either of these can become blocked and each of them can affect the eye in different ways. Central retinal vein occlusion (CRVO) is the blockage of the main retinal vein.
Branch retinal vein occlusion (BRVO) is the blockage of one of the smaller branch veins.

Uveitis is an inflammatory disorder of the uveal tract of the eye that can affect both adults and children. Non-infectious uveitis can be an expression of a systemic autoimmune condition, or it can be idiopathic. It is a serious disease, associated with possible severe complications leading to visual impairment and blindness.

Fuchs’ dystrophy is a condition where the cells on the back layer of the cornea are not normal. Most patients with Fuchs dystrophy have a very mild form that never affects vision. When it does affect vision, it usually occurs in middle age or later. In mild Fuchs dystrophy, the vision may be slightly decreased. As the Fuchs dystrophy progresses and the corneal swelling worsens, the vision slowly declines.

Retinitis pigmentosa (RP) is the name given to a group of inherited eye diseases that affect the retina (the light-sensitive part of the eye). RP causes the breakdown of photoreceptor cells (cells in the retina that detect light). Photoreceptor cells capture and process light helping us to see. As these cells breakdown and die, patients experience progressive vision loss.

Central serous chorioretinopathy is when fluid builds up under the retina. This can distort vision. The fluid leakage comes from a layer of tissue under the retina, called the choroid. The layer of cells between retina and choroid is called the retinal pigment epithelium (RPE). When RPE does not work as it should, fluid builds up under the retina or the RPE resulting in a small detachment and visual distortion.

Presbyopia, or age-related near vision loss, is a condition in which eyesight is affected by decreased ability to focus on objects at close distances. This affects reading vision, and makes it difficult to see clearly at close range. Presbyopia is common, affecting nearly 2 billion people worldwide, and typically develops after 40 years of age.

Retinitis pigmentosa (RP) is the name given to a group of inherited eye diseases that affect the retina (the light-sensitive part of the eye). RP causes the breakdown of photoreceptor cells (cells in the retina that detect light). Photoreceptor cells capture and process light helping us to see. As these cells breakdown and die, patients experience progressive vision loss.

Central serous chorioretinopathy is when fluid builds up under the retina. This can distort vision. The fluid leakage comes from a layer of tissue under the retina, called the choroid. The layer of cells between retina and choroid is called the retinal pigment epithelium (RPE). When RPE does not work as it should, fluid builds up under the retina or the RPE resulting in a small detachment and visual distortion.

Presbyopia, or age-related near vision loss, is a condition in which eyesight is affected by decreased ability to focus on objects at close distances. This affects reading vision, and makes it difficult to see clearly at close range. Presbyopia is common, affecting nearly 2 billion people worldwide, and typically develops after 40 years of age.
Want to learn more about  Netra Restoration Therapy  and holistic eye treatments or need help to schedule an appointment for a consultation?
Call us at (732)-503-9999 Â or fill out the contact us form below.
5001 Hadley Rd, Ste 210,
South Plainfield, NJÂ 07080
TEL: (732) 503 9999
FAX: (732) 333 6473
© 2026 Netra Eye Institute. All rights reserved.
























